| 一、细胞基本属性 | ||||
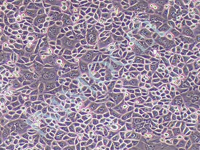
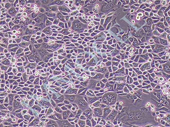
| 细胞名称 | AGS人胃腺癌细胞(STR鉴定正确) | |||
| 细胞别称 | AGS;人胃癌细胞 | |||
| 种属来源 | 人 | |||
| 年龄性别 | 女;54岁 | |||
| 组织来源 | 胃;胃癌 | |||
| 生长特性 | 贴壁生长 | |||
| 细胞形态 | 上皮细胞样 | |||
| 细胞代数 | 10代以内 | |||
| 背景介绍 | AGS细胞源自一个未经治疗的切除肿瘤碎块;据报道,AGS细胞的植板率为34%。 | |||
| STR位点信息 | Amelogenin:X;CSF1PO:11,12;D13S317:12;D16S539:11,13;D18S51:13;D19S433:13.2,16;D21S11:29;D2S1338:20,22;D3S1358:16;D5S818:9,12;D7S820:10,11;D8S1179:13;FGA:23,24;TH01:6,7;TPOX:11,12;vWA:16,17 | |||
| STR鉴定位点图 | ![]() | |||
| 生物安全等级 | 2 | |||
| 细胞规格 | 1×106cells/T25培养瓶或者1mL冻存管包装 | |||
| 支原体检测 | 无 | |||
| 保藏机构 | ATCC; CRL-1739 BCRC; 60102 BCRJ; 0311 ;中国典型培养物保藏中心细胞库 | |||
| 培养基 | 90%F12K+10%FBS+PS | |||
| 培养条件 | 气相:95%空气+5%二氧化碳;温度:37℃ | |||
| 冻存条件 | 无血清冻存液,液氮储存 | |||
| 倍增时间 | ~20-24 hours | |||
| 致瘤性 | Yes, in athymic BALB/c mice. | |||
| 细胞货期 | 现货,1周左右 | |||
| 运输方式 | 复苏发货(T25瓶免运输费用)/ 冻存发货(需加干冰运输费用) 顺丰快递 | |||
| 供应限制 | 仅限于科学研究,绝不可作为动物或人类疾病的治疗产品使用 | |||
| 特别说明 | 以下细胞培养冻存处理仅供参考,具体操作步骤以随货产品说明书为主 | |||
| 二、细胞培养操作 | ||||
| 收货方式 | T25瓶 | 冻存管 | ||
| 收货处理 | 观察好细胞状态后,75%酒精消毒瓶壁,将T25瓶置于37度培养箱放置2-4h,以便稳定细胞状态 | 收到细胞后,需立即转入液氮冻存或直接复苏 | ||
| 传代密度 | 细胞密度达80%-90%,即可进行传代培养 | 第三天换液并检查细胞密度 | ||
| 传代比例 | 首次传代建议1:2传代 1:2传代就是1个T25瓶传2个T25瓶或者2个6cm皿。不是1个T25瓶传2个10cm皿 | 一管细胞建议接种到10cm培养皿或者T25瓶 | ||
| 传代方法 | a、弃去培养上清,用不含钙、镁离子的PBS润洗细胞1-2次。 | 将含有1 mL细胞悬液的冻存管在 37℃水浴中迅速摇晃解冻,加4 mL培养基混合均匀。在1000 rpm条件下离心3 min,弃去上清液,加1-2 mL培养基后吹匀。然后将所有细胞悬液加入含适量培养基的培养瓶中培养过夜(或将细胞悬液加入6 cm皿中,加入约4 mL完全培养基,培养过夜)。第三天换液并检查细胞密度。 | ||
| 注意事项 | 1.运输用的培养基(灌液培养基)不能再用来培养细胞,请换用按照说明书细胞培养条件新配制的完全培养基来培养细胞。 2.因运输问题,部分细胞由于温度变化及剧烈碰撞死亡破碎形成碎片,是正常现象。 | 1.收货时若发现干冰化完,检查冻存管是否融化,若已融化需直接离心细胞接种观察,若未融化可以将细胞按正常步骤保存; 2.为保证细胞的高存活率,收到产品后,请立即解冻复苏细胞。 | ||
| 到货须知 | 1.收到细胞后,首先观察并拍照记录细胞瓶是否完好,培养液是否有漏液、浑浊等现象,干冰运输的细胞检查干冰是否完全挥发,细胞是否解冻,若有上述现象发生请及时和我们联系。 3.由于运输的原因,个别敏感细胞会出现不稳定的情况,请及时和我们联系,告知细胞的具体情况,以便我们的技术人员跟踪回访直至问题解决。 | |||
| 备注:客户在细胞培养过程中,有任何技术问题可以拨打技术服务电话:400-080-3389 按 2,我们随时给予解答。 | ||||
| 三、细胞冻存操作 | ||||
| 冻存液配方 | 无血清冻存液,液氮储存 | |||
| 细胞密度 | 待细胞生长状态良好时,可进行细胞冻存。下面 T25 瓶为例 | |||
| 冻存方法 | a、收集细胞及细胞培养液,装入无菌离心管中,1000 rpm条件下离心4 min,弃去上清液,用PBS清洗一遍,弃尽PBS,加 1 mL血清重悬细胞,进行细胞计数。 b、根据细胞数量加入无血清细胞冻存液,使细胞密度5x106~1x107/mL,轻轻混匀,每支冻存管冻存1mL细胞悬液,注意冻存管做好标识。 c、将冻存管放入-80℃冰箱,24 h后转入液氮灌储存。记录冻存管位置以便下次拿取。 | |||
| 注意事项 | 冻存细胞转入液氮后及时复苏一管检查细胞冻存活性,若有异常,及时调整实验方案 | |||
| 四、售后服务 | ||||
| 重发标准 | 1.细胞运输途中遭遇的各种问题,细胞丢失、瓶身破损、培养液严重漏液等,重发; 2.收到细胞未开封,如出现污染状况,重发; 3.收到细胞3天内,发现污染问题,经核实后,重发; 4.常温发货的细胞静置 2 小时后,干冰冻存发货的细胞复苏 2 天后,绝大多数细胞未存活,经核实后,重发; 5.常温发货的细胞静置 22 小时并且未开封或干冰冻存发货的细胞复苏 2 天后,出现污染,经核实后,重发; 6.细胞活性问题,请在收到产品 3 天内给我们提出真实的实验结果,用台盼蓝染色法鉴定细胞活力,经核实后,重发; 7.视具体情况而定。 | |||
| 不予重发 | 1.客户操作造成细胞污染,不重发; 2.客户严重操作失误致细胞状态不好,不重发; 3.非我们推荐细胞培养体系致的细胞状态不好,不重发; 4.细胞状态不好,未提供真实清晰的培养前 3 天的细胞状态照片,不重发; 5.细胞培养时经其它处理导致细胞出现问题的,不重发; 6.收到细胞发现问题与客服人员沟通的时间证明大于3天的,不重发; 7.视具体情况而定。 | |||
相关文献
细胞培养相关问题
-
细胞名称:A7r5细胞系(A7R5大鼠胸大动脉平滑肌细胞)客户问题:细胞中黑色的是什么?原因分析:1.棉球纤维、凋亡细胞片、血清蛋白,或一些无血清培养基添加因子后的因子析出物,属于正常现象;2.如果是传代后细胞堆···...
阅读详情 -
细胞增殖速度怎么变得这么慢了?细胞发生病变,出现细胞变圆、从培养瓶壁脱落又是什么情况?要疯了,培养细胞怎么就这么难呢~实验过程中存在的“幽灵”,即使是经验丰富的老研究员也不得不面对,没错,它就是支原体感···...
阅读详情 -
胎牛血清和小牛血清的差别在哪里? 胎牛血清和小牛血清的差别在哪里? 胎牛血清(FBS) :从八月龄胎牛心脏穿刺取血。适用于专业的研究和试验,包括干细胞研究、免疫分析和抗体生产。 新生牛血青/小牛血清(NBCS) :从自出···...
阅读详情
细胞培养指南
-
人源肿瘤细胞系异体移植(cell derived xenograft, CDX),即将体外传代培养的肿瘤细胞接种至免疫缺陷小鼠,因其有明确的肿瘤生长动力学、易于遗传操作、成瘤率高、价格低廉等特点,并且能够产生一致和可重复的数据,···...
阅读详情 -
hiPSC人诱导多能干细胞培养教程:在培养hiPSC细胞前,需准备好hESC/iPSC完全培养基配制和Matrigel铺板,hiPSC人诱导多能干细胞复苏操作,1. 将水浴锅预热至37℃;并将Matrigel包被的6孔板,提前放置生物安全柜中约1小时恢复···...
阅读详情 -
H9人胚胎干细胞培养条件与方法:1. 将水浴锅预热至37℃,并将Matrigel包被的6孔板,提前放置生物安全柜中约1小时恢复至室温(15~30℃);2. 取4 mL hESC/iPSC完全培养基,按照1:4000比例加入1 μL的hESC/iPSC Supplement C,···...
阅读详情




























