染色体核型分析技术服务
技术简介
染色体核型分析(karyotype analysis),是以分裂中期染色体为研究对象,根据染色体的长度、着丝点位置、长短臂比例、随体大小等特征,借助显带技术对染色体进行配对、编号和分组,并进行形态分析的过程。
经染色或荧光标记的染色体,通过一定的光学或电化学显色设备就可以清晰而直观的观察到染色体的具体形态结构,再与正常核型进行对比寻找差异,进而确定染色体的缺失、重复和倒置等现象。

为什么要做染色体核型分析
作为细胞遗传学研究的基本方法,染色体核型分析是研究物种演化、分类以及染色体结构、形态与功能之间关系所不可少的重要手段,在产前遗传病的诊断,研究基因定位等方面,有着重要的应用价值。
染色体组型分析是细胞遗传学研究的基本方法,是研究物种演化、分类以及染色体结构、形态与功能之间关系所不可缺少的重要手段。通过染色体核型分析,可以根据染色体结构和数目的变异情况来判断生物是否患有某种因染色体片段缺失、重复或倒置等引起的遗传病。如产前 21 三体综合征的诊断,通过核型分析可以在遗传基础上确定该疾病。此外,联合荧光原位杂交技术,还可以对基因进行定位。
染色体核型分析经常采用方法包括
常规的形态分析:选用分裂旺盛细胞的有丝分裂中期的染色体制成染色体组型图,以测定各染色体的长度(微米)或相对长度(%),着丝粒位置及染色体两臂长的比例(臂比),鉴别随体及副缢痕的有无作为分析的依据。
带型分析:G显带技术是通过Giemsa染色方法使染色体的不同区域着色,使染色体在光镜下呈现出明暗相间的带纹。每个染色体都有特定的带纹,甚至每个染色体的长臂和短臂都有特异性。根据染色体的不同带型,可以更细致而可靠地识别染色体的个性。
着色区段分析:染色体经低温、KCl和酶解,HCl或HCl与醋酸混合液体等处理后制片,能使染色体出现异固缩反应,使异染色质区段着色可见。在同源染色体之间着色区段基本相同,而在非同源染色体之间则有差别。
操作流程

公司优势
拥有检测平台以及多位经验丰富的技术人员
实验体系成熟,工作效率高,周期短
提供完整的检测报告,结果真实可靠
价格具有竞争力,售后服务完善
服务内容
样本类型
人染色体:活细胞、固定细胞、外周血
小鼠染色体:固定细胞、外周血、骨髓、脾脏
送样要求
活细胞:用T25培养瓶培养活细胞一瓶,细胞融合度50-60%,充满培养基,标明细胞名称与性别,常温寄送,同时寄送培养基
固定细胞:细胞数量>106,冰袋运输
外周血:EDTA抗凝血5mL,冰袋运输
周期报价
周期:20天-30天
报价:3500元/样(含细胞预处理)
项目案例
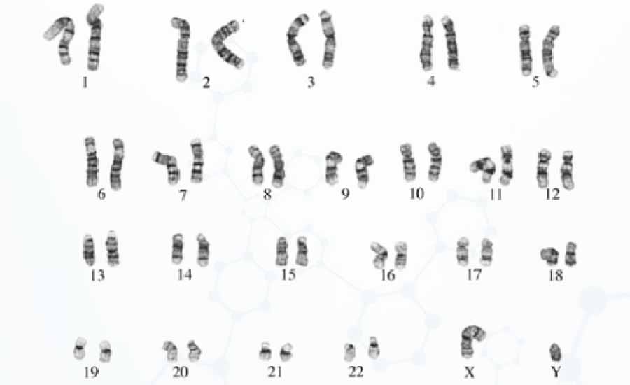
以人的样本为例,展示染色体核型分析结果
(1)人类染色体核型G显带标准图谱

(2)人类正常染色体核型(男性)







